orthodontie adulte à bièvres
De plus en plus d’adultes consultent un orthodontiste pour améliorer l’esthétique de leur sourire. Contrairement aux idées reçues, il n’est jamais trop tard pour aligner ses dents.
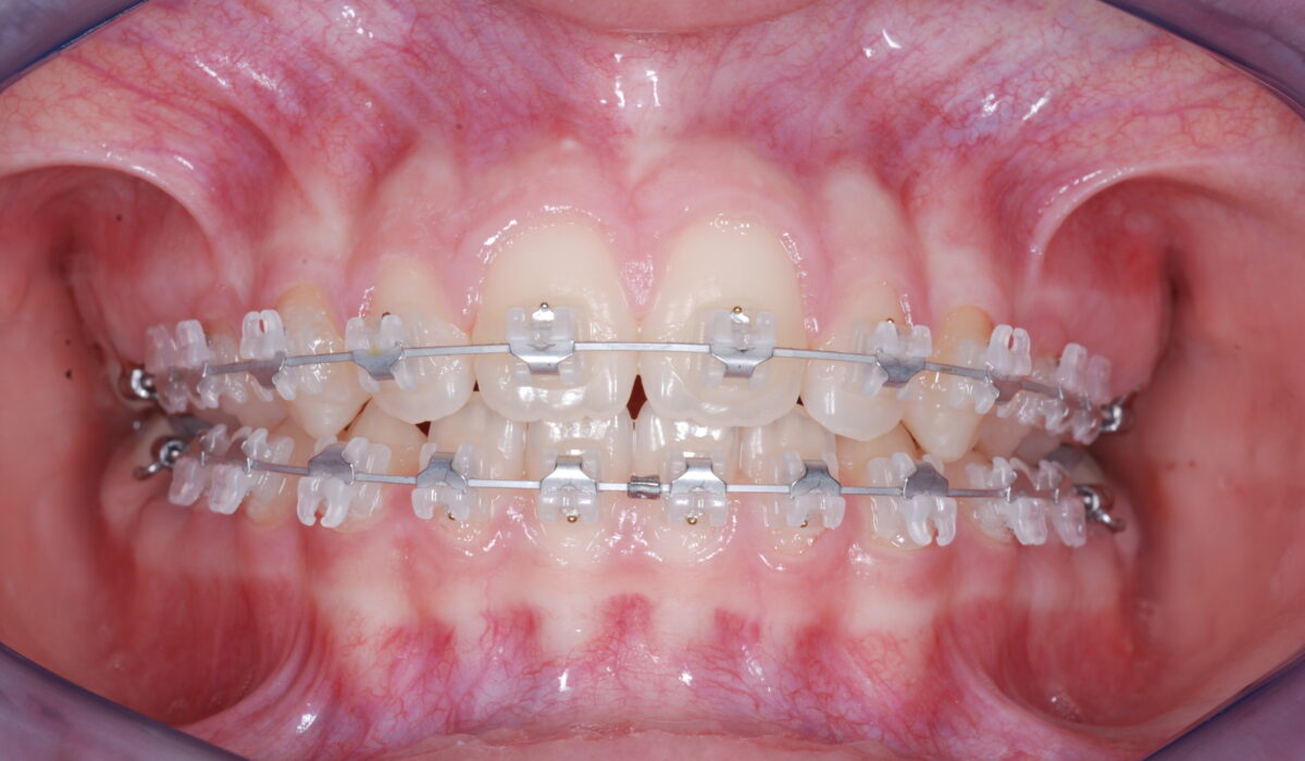
Nous proposons tout types d’appareils: aligneurs transparents, bagues en céramique et orthodontie linguale invisible.
Notre cabinet, situé à Bièvres, accueille de nombreux patients adultes venant de Igny, Vauhallan et Jouy-en-Josas, désireux d’améliorer leur sourire en toute confiance.
Est-il trop tard pour commencer un traitement orthodontique à l’âge adulte ?
Non, il est possible de déplacer les dents à n’importe quel âge.
Quels types d’appareils discrets existent pour les adultes ?
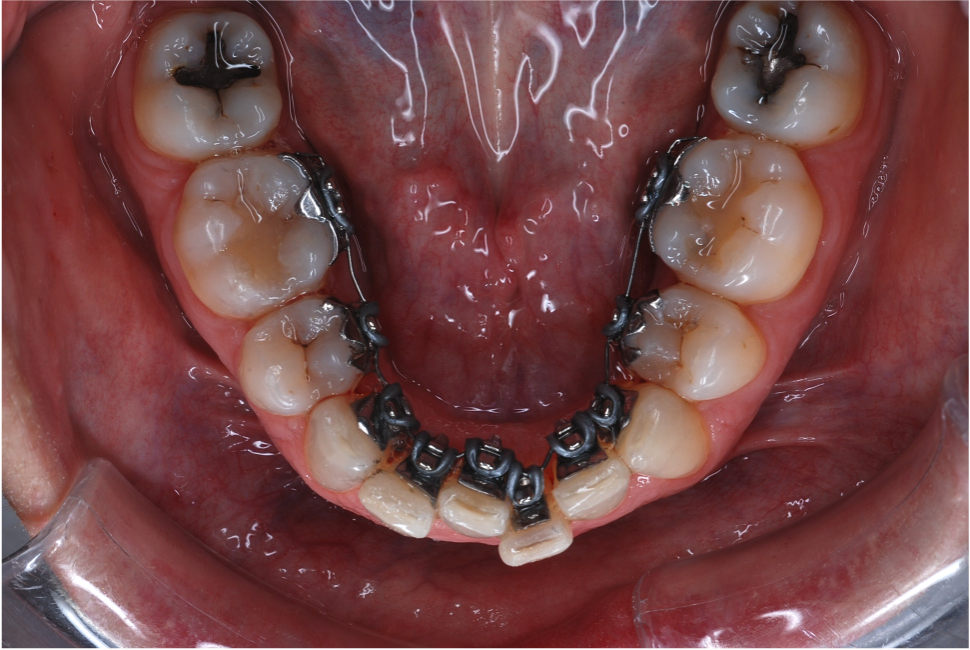
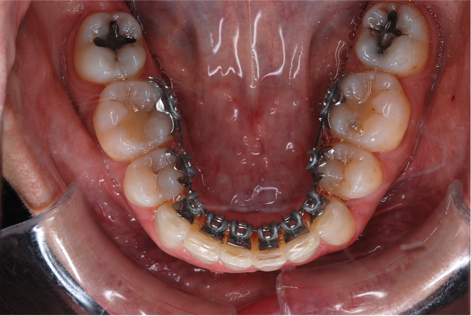
Les deux appareils les plus discrets sont les aligneurs transparents et les appareils linguaux fixés derrière les dents.
Un traitement orthodontique adulte est-il douloureux ?
Il peut provoquer une gêne temporaire suite au début de déplacement des dents les premiers jours.



